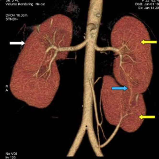
C’est l’histoire d’un homme de 63 ans qui consulte aux urgences pour une douleur lombaire gauche persistante. L’examen clinique et les analyses sanguines sont normaux. Rien, à première vue, ne laisse présager une anomalie anatomique. Et pourtant, l’échographie abdominale met en évidence une configuration inattendue : non pas deux reins, mais trois, dont deux sont fusionnés en une structure en fer à cheval.
Le scanner confirme la présence de trois reins distincts : deux reins fusionnés dans la fosse rénale gauche et un troisième rein en position médiane, chacun doté d’une vascularisation indépendante. La fonction rénale est globalement normale. Quelques petits calculs, non obstructifs, sont observés dans les reins gauches.
Comme la fonction rénale est conservée et qu’il n’existe pas d’obstacle, une prise en charge conservatrice est choisie, associant antalgiques, hydratation et conseils diététiques pour prévenir la formation de nouveaux calculs. Après six mois de suivi, le patient est asymptomatique, avec une fonction rénale stable et sans progression de sa lithiase.
Ce cas, rapporté en mars 2026 dans la revue Radiology Case Reports par des radiologues marocains de l’hôpital Ibn Sina à Rabat, associe deux anomalies congénitales déjà rares en elles-mêmes (rein surnuméraire et rein en fer à cheval), aboutissant à une configuration d’une exceptionnelle rareté.
Un rein supplémentaire avec son propre système collecteur
Un rein surnuméraire est un rein supplémentaire, doté de son propre système collecteur et d’une vascularisation spécifique. Il s’agit d’une anomalie congénitale exceptionnelle, qui survient plus souvent du côté gauche.
Chez l’être humain, les reins sont normalement au nombre de deux. Le rein surnuméraire correspond à la présence d’un organe supplémentaire, distinct des deux autres. Sa taille est variable, mais il est généralement plus petit et situé plus bas que le rein « normal » du même côté. Quand il est situé en position basse, on observe le plus souvent un uretère dédoublé.

Ce rein supplémentaire peut être complètement séparé du rein principal ou relié à lui par une bande tissulaire.
Les relations entre les uretères du rein normal et du rein surnuméraire sont variables : dans près de la moitié des cas, les uretères fusionnent avant d’entrer dans la vessie, mais ils peuvent aussi rester totalement indépendants. Dans environ un tiers des cas, son système collecteur présente une anomalie (dilatation, obstruction). La vascularisation du rein surnuméraire est, elle aussi, variable et dépend largement de sa position par rapport au rein principal.
Lorsque le rein surnuméraire est situé plus haut que le rein normal, son uretère est en général complètement séparé et peut se terminer dans la vessie à un endroit inhabituel. Parfois, cet uretère peut même s’ouvrir ailleurs que dans la vessie, par exemple dans le vagin. Dans ce cas, il peut se manifester par une incontinence urinaire.
Moins de 100 cas de rein surnuméraire rapportés
Le rein surnuméraire est une anomalie congénitale extrêmement rare : moins d’une centaine de cas ont été rapportés dans la littérature médicale mondiale. Son incidence réelle reste inconnue, car il est souvent découvert de manière fortuite.
L’histoire des reins surnuméraires ne date pas d’hier. Elle remonte à plus de trois siècles et demi : le tout premier cas a été décrit en 1656, le second en 1677. Depuis lors, à peine quelques dizaines d’observations se sont ajoutées, si bien qu’au début du XXIᵉ siècle, on ne comptait encore qu’un peu plus de 80 cas rapportés dans la littérature médicale. Autant dire que chaque nouvelle observation apporte son lot d’enseignements.
Le rein en fer à cheval, en revanche, est beaucoup plus fréquent, avec une incidence d’environ 1 naissance sur 500. Il résulte d’une fusion des deux reins par leur pôle inférieur, formant une structure en U située plus bas que la normale. Environ un tiers des patients porteurs de rein en fer à cheval restent complètement asymptomatiques et sont découverts de façon fortuite. L’association des deux anomalies est exceptionnelle : moins de cinq cas ont été décrits.
Des manifestations souvent discrètes
Le diagnostic est rarement posé dans l’enfance, le rein surnuméraire restant le plus souvent silencieux jusqu’au début de l’âge adulte. Les manifestations les plus fréquentes sont la douleur, la fièvre, l’hypertension artérielle et la découverte d’une masse abdominale à la palpation.
Comme souvent avec les anomalies rénales congénitales, ces configurations peuvent longtemps rester silencieuses et être découvertes fortuitement. Elles exposent néanmoins à des complications : infection du rein (pyélonéphrite), hydronéphrose (dilatation des cavités intrarénales en amont d’un obstacle), calculs rénaux (lithiases).
Dans de très rares cas, une tumeur (carcinome à cellules claires, tumeur de Wilms) peut se développer sur un rein surnuméraire.
Enfin, dans environ un quart des cas, le rein surnuméraire reste totalement asymptomatique et n’est découvert qu’au cours d’une autopsie.
Plus rarement, d’autres malformations, de l’appareil génito-urinaire ou d’autres organes, peuvent s’associer à un rein surnuméraire : obstruction partielle de l’uretère ou du vagin (atrésie), duplication complète de l’urètre, anus imperforé, malformation cardiaque congénitale (comme un défaut de la cloison interventriculaire), myéloméningocèle (malformation de la colonne vertébrale et de la moelle épinière), coarctation de l’aorte (rétrécissement localisé).
Une origine embryologique complexe
Comment expliquer l’apparition d’un organe rénal supplémentaire ? Pour le comprendre, il faut remonter aux premières semaines du développement embryonnaire.
Les reins définitifs se forment à partir d’un tissu appelé blastème métanéphrogène, à l’origine du parenchyme rénal, c’est-à-dire la partie filtrante du rein. Ce tissu interagit avec une autre structure, appelée bourgeon urétéral, qui donnera naissance aux voies excrétrices (uretère, bassinet, calices).
Ce dialogue entre deux structures embryonnaires permet normalement la formation de deux reins bien distincts.
Dans le cas d’un rein surnuméraire, une division anormale du blastème métanéphrogène conduit à la formation de deux structures au lieu d’une. Chacune peut alors évoluer en un rein distinct, à condition d’être stimulée par un bourgeon urétéral. Cette anomalie survient entre la 5ᵉ et la 7ᵉ semaine de gestation.
Par ailleurs, les reins ne se forment pas à leur emplacement définitif. Ils apparaissent initialement dans le bassin, puis migrent vers la région lombaire tout en pivotant sur eux-mêmes. Toute perturbation de cette ascension ou de cette rotation peut entraîner des anomalies de position ou de fusion.
Le rein en fer à cheval résulte ainsi d’une fusion précoce des pôles inférieurs des deux reins en formation. Cette fusion entrave leur migration normale et explique leur position basse et leur forme caractéristique. Plusieurs mécanismes peuvent intervenir : un rapprochement excessif des deux ébauches vers la ligne médiane avant leur ascension, une contrainte mécanique (comme un vaisseau anormal) ou un défaut de rotation qui les empêche de bien se séparer. Au final, les reins se soudent, restent bloqués plus bas que la normale et prennent une forme en U qui franchit la ligne médiane.
Dans certains cas, comme celui du patient marocain, ces anomalies se combinent : un rein surnuméraire coexiste avec une fusion en fer à cheval, traduisant des perturbations multiples du développement embryonnaire.
Quand il y a quatre reins
Si ces configurations sont déjà rares, certaines observations vont encore plus loin. C’est le cas d’un adolescent somalien de 15 ans qui consulte pour des douleurs abdominales diffuses évoluant depuis plusieurs jours, avec une gêne plus marquée du flanc gauche. Le scanner abdomino-pelvien révèle non pas trois, mais quatre reins. À droite, deux reins distincts sont présents. À gauche, deux unités rénales sont partiellement fusionnées. Un calcul obstructif du bassinet gauche est à l’origine des symptômes.

Le scanner montre en effet une duplication complète du système rénal de chaque côté, mais selon des modalités différentes. À droite, deux reins distincts coexistent, disposés l’un au-dessus de l’autre : l’un en position habituelle dans la loge rénale droite, l’autre situé plus bas. Chaque rein possède son propre système collecteur et sa vascularisation.
À gauche, en revanche, les deux reins supplémentaires sont partiellement fusionnés par un pôle, tout en conservant des cavités urinaires séparées. Les uretères se rejoignent plus bas.
C’est finalement la présence d’un calcul de 15 mm, enclavé dans le bassinet gauche et responsable d’une dilatation des cavités rénales du même côté (hydronéphrose), qui a conduit au diagnostic.
Chez cet adolescent, dont le cas a été rapporté dans Urology Case Reports en 2024, le traitement a reposé sur une intervention endoscopique mini-invasive, permettant de fragmenter le calcul au laser et d’obtenir une guérison complète.
Le diagnostic est donc celui de reins surnuméraires bilatéraux, non fusionnés à droite et fusionnés à gauche, compliqué par un calcul obstructif du bassinet gauche. Une telle configuration relève de l’exception.
Dans ces formes particulières, le processus embryologique se dérègle des deux côtés, de façon simultanée, aboutissant à une duplication bilatérale avec quatre unités rénales distinctes. La fusion observée à gauche s’explique probablement par une séparation incomplète du tissu embryonnaire, laissant deux reins accolés plutôt que totalement individualisés.
Quatre reins… d’un seul côté
Plus surprenant encore est le cas d’un homme de 29 ans, hospitalisé pour des douleurs lombaires chroniques et des troubles urinaires, initialement interprétés comme une simple dilatation d’un rein (hydronéphrose).
L’imagerie évoque un rein dilaté, altéré, probablement non fonctionnel. Mais c’est au bloc opératoire, puis à l’examen anatomopathologique de la pièce opératoire, que la réalité apparaît dans toute sa complexité : il n’y a pas un rein pathologique… mais quatre petits reins, tous situés du même côté.
Ces reins miniatures, mesurant de 1,1 à 4 cm, sont tous reliés à un uretère anormalement dilaté. Fait remarquable, malgré leur taille réduite, ils présentent tous une organisation interne relativement bien conservée.
Plus remarquable encore est le cas rapporté par des urologues américains en 2014 dans la revue Human Pathology. Ce patient ne possède pas de rein normal du côté concerné, mais quatre unités rénales, qui constituent à elles seules tout le parenchyme rénal de ce côté. Il n’existe en effet aucun rein « normal » sur ce flanc.
À cette anomalie majeure s’en ajoutent d’autres : abouchement anormal de l’uretère gauche dans l’urètre prostatique, duplication partielle de l’uretère controlatéral, et vésicule biliaire présentant une configuration interne inhabituelle.
Dans ce cas précis, même une relecture experte du scanner n’a pas permis d’identifier les reins miniatures, l’image restant celle d’un rein unique, chroniquement obstrué. Ce n’est qu’à l’examen minutieux de la pièce opératoire que les quatre petites unités rénales ont été mises en évidence.
Chez ce patient, les médecins ont décidé d’enlever tout le système rénal anormal du côté droit. Ils ont retiré un uretère très dilaté auquel étaient reliés les quatre petits reins. Le côté gauche, lui, a été conservé : le patient a donc gardé un rein fonctionnel, malgré un uretère partiellement dédoublé.
Dans un tel cas, l’embryologie gagne encore en complexité. Si la formation d’un rein surnuméraire peut s’expliquer par une division du blastème métanéphrogène ou un dédoublement du bourgeon urétéral, ces mécanismes classiques ne suffisent probablement pas à rendre compte de la multiplicité des anomalies. Il est probable qu’elles soient la conséquence d’anomalies impliquant plusieurs gènes et facteurs de croissance. Un déséquilibre de ces signaux moléculaires pourrait conduire à la formation de multiples reins miniatures, reflets d’un dérèglement profond des mécanismes de l’organogenèse. Le fait que des malformations touchent également d’autres organes, comme la vésicule biliaire, renforce l’idée d’un trouble du développement à large spectre.
Des reins surnuméraires bilatéraux et fusionnés
En 2022, des chirurgiens éthiopiens ont rapporté le cas d’un homme de 35 ans consultant aux urgences pour une douleur aiguë du flanc droit. Le scanner met en évidence deux reins normalement situés, associés chacun à une unité rénale surnuméraire partiellement fusionnée à leur pôle inférieur, avec anomalie de rotation et uretères bifides. Les quatre unités rénales présentaient une fonction conservée.
La première description de reins surnuméraires bilatéraux remonte à 1805. La découverte de quatre reins avait alors été faite lors d’autopsies.
En 2014, des urologues américains ont rapporté dans Urology Case Reports un cas particulièrement complexe de reins surnuméraires. Il s’agit d’une femme de 40 ans qui consultait pour des douleurs abdominales vagues et intermittentes, associées à une sensation de pesanteur évoluant depuis plusieurs années. Le scanner a montré la présence de quatre masses rénales, dont trois à gauche. Une quatrième unité rénale était fixée au rein surnuméraire le plus bas situé à gauche, formant un rein en fer à cheval.
Que retenir de ces cas surprenants de rein surnuméraire ? D’abord que l’imagerie, notamment l’échographie abdominale et le scanner, est essentielle pour diagnostiquer cette anomalie congénitale, préciser le nombre de reins, leur position, leurs rapports anatomiques et caractériser leur vascularisation.
Ensuite, que la prise en charge dépend de la fonction du rein supplémentaire et des symptômes. En l’absence de symptômes et lorsque la fonction est conservée, aucun traitement n’est nécessaire, mais une surveillance régulière est recommandée. En revanche, si le rein fonctionne anormalement, s’il est source de douleurs, d’infections répétées, d’obstruction ou de suspicion tumorale, son ablation (néphrectomie) peut s’avérer nécessaire.
Enfin, ces observations rappellent que l’anatomie humaine, que l’on croit volontiers figée et standardisée, peut réserver bien des surprises. Pour la plupart d’entre nous, disposer de deux reins est une évidence. Mais ces cas de reins surnuméraires montrent qu’il s’agit d’un modèle majoritaire, et non d’une règle absolue. Chez certains individus, le programme embryonnaire provoque la formation de trois, voire de quatre reins, dessinant en silence des architectures internes que ni le patient ni son médecin ne soupçonnent, jusqu’au jour où l’imagerie les révèle.
Pour en savoir plus :
El Aouadi S, Dghoughi B, Bahha S, et al. Rare case of triple kidney with horseshoe fusion. Radiol Case Rep. 2026 Mar ; 21 (3) : 985-990. doi : 10.1016/j.radcr.2025.11.022
Ibrahim IG, Nur-Amin MA, Osman AA, et al. Bilateral supernusomamerary kidney with an obstructive calculus : An extremely rare case report and literature review. Urol Case Rep. 2024 Apr 13 ; 54 : 102734. doi : 10.1016/j.eucr.2024.102734
Nimkar SV, Yelne P, Gaidhane SA, et al. Supernumerary Kidney (Triple Kidney) With Horseshoe Malformation : A Case Report. Cureus. 2022 Nov 13 ; 14 (11) : e31436. doi : 10.7759/cureus.31436
Tefera AT, Gebreselassie KH, Issack FH, et al. Bilaterally Fused Supernumerary Kidneys : A Very Rare Case Report and Review of Literature. Int Med Case Rep J. 2022 Feb 21 ; 15 : 61-68. doi : 10.2147/IMCRJ.S352605
Yener S, İlçe Z. A rare case : Supernumerary right kidney in a child. Urol Case Rep. 2021 Apr 8 ; 38 : 101677. doi : 10.1016/j.eucr.2021.101677
Rai RK, Gupta A, Singh G, et al. Supernumerary Kidney Associated With Horseshoe Malformation and Ureteric Stricture With Hydroureteronephrosis – A Rare Case. Urology. 2021 Mar ; 149 : 230-233. doi : 10.1016/j.urology.2020.07.051
Medina-Pestana JO, Foresto RD. Three Kidneys. N Engl J Med. 2020 May 7 ; 382 (19) : 1843. doi : 10.1056/NEJMicm1910376
Manandhar S, Khanal A. Fused Right Supernumerary Kidney : A Case Report. JNMA J Nepal Med Assoc. 2019 Sep-Oct ; 57 (219) : 376-378. doi : 10.31729/jnma.4563
Kumar M, Kumar G, Barwal K, Raina P. Right supernumerary kidney : A rare entity. Urol Case Rep. 2019 Jan 9 ; 23 : 97-98. doi : 10.1016/j.eucr.2019.01.001
Chien JCW, Chan WP. Bilateral Supernumerary Kidney. J Korean Med Sci. 2016 May ; 31 (5) : 822 – 3. doi : 10.3346/jkms.2016.31.5.822
Suresh J, Gnanasekaran N, Dev B. Fused supernutimerary kidney. Radiol Case Rep. 2015 Nov 6 ; 6 (4) : 552. doi : 10.2484/rcr.v6i4.552
Keskin S, Batur A, Keskin Z, et al. Bilateral supernumerary kidney : a very rare presentation. Iran J Radiol. 2014 Oct 12 ; 11 (4) : e11069. doi : 10.5812/iranjradiol.11069
Fathollahi A. Supernumerary Kidney With a Horseshoe Component. Urol Case Rep. 2014 Aug 14 ; 2 (5) : 162-5. doi : 10.1016/j.eucr.2014.07.005
Afrouzian M, Sonstein J, Dadfarnia T, et al. Four miniature kidneys : supernumerary kidney and multiple organ system anomalies. Hum Pathol. 2014 May ; 45 (5) : 1100-4. doi : 10.1016/j.humpath.2013.11.015
Patel R, Singh H, Willens D, Drake S. Bilateral supernumerary kidneys : how much is too much ? BMJ Case Rep. 2014 Apr 1 ; 2014 : bcr2013202677. doi : 10.1136/bcr-2013-202677
Sureka B, Mittal MK, Mittal A, et al. Supernumerary kidneys–a rare anatomic variant. Surg Radiol Anat. 2014 Mar ; 36 (2) : 199-202. doi : 10.1007/s00276-013-1135-z
Mustafa M. Bilateral supernumerary kidneys in conjunction with horseshoe anomaly. Saudi J Kidney Dis Transpl. 2012 Nov ; 23 (6) : 1243-5. doi : 10.4103/1319 2442.103568
Oto A, Kerimoğlu U, Eskiçorapçi S, et al. Bilateral supernumerary kidney : imaging findings. JBR-BTR. 2002 Dec ; 85 (6) : 300-3.
Source:
www.lemonde.fr

